Can Lung Cancer Be Mistaken For Tuberculosis / Pneumonia Symptoms, Signs and Treatment - However, over time, the fungus may develop into pulmonary nodules, a fungus ball, or pneumonia.
Dapatkan link
Facebook
X
Pinterest
Email
Aplikasi Lainnya
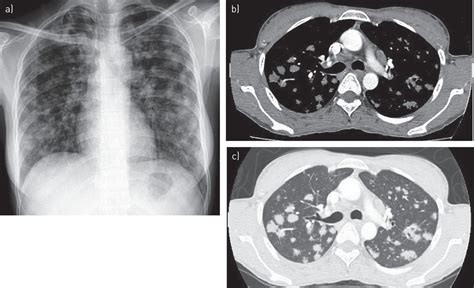
Can Lung Cancer Be Mistaken For Tuberculosis / Pneumonia Symptoms, Signs and Treatment - However, over time, the fungus may develop into pulmonary nodules, a fungus ball, or pneumonia.. Lung abscesses are typically round, 0.5 to 3 cm in diameter Now uncommon, lung abscesses usually result from a severe infection such as pneumonia or tuberculosis or from the aspiration of infectious material into the lungs from the mouth. But now it is cure able but still it cannot be cured if it exceeds stage 3. We describe a fatal case of a patient with spinal tb, who was mistakenly irradiated for suspected metastatic lung cancer of the spine in the presence of a solitary pulmonary nodule of. Differentiation according to the radiological findings can not be provided.
Tb specifically refers only to disease caused by m. Most of the cases of lung cancer caused by tuberculosis are because of a chronic condition. Aspergillosis generally starts out as a spot in your lung called a lung nodule. To describe the epidemiological studies about the relationship between lung cancer (lc) and pulmonary tuberculosis (tb) and its possible molecular mechanisms. However, prospective data on tuberculosis and lung cancer risk are limited.
Lung Cancer Vs Mesothelioma - Goldberg, Persky & White, P.C. from gpwlaw.com Tb specifically refers only to disease caused by m. Now uncommon, lung abscesses usually result from a severe infection such as pneumonia or tuberculosis or from the aspiration of infectious material into the lungs from the mouth. At moffitt cancer center, the multispecialty team in our thoracic oncology program ensures a high level of accuracy by offering a full range. Lung abscesses, nodules or effusion; Aspergillosis generally starts out as a spot in your lung called a lung nodule. A simpler test to do is to repeat the cxr after 6 months or so and observe for changes. Tuberculosis can be diagnosed by injecting mantoux tuberculin skin test (tst) or the tuberculosis body fluid test can be used to test for tuberculosis contamination. The delay in the diagnosis of lung cancer is substantial, because new malignant lesions can be obscured by coexisting tuberculosis lesions, or new nodules could be hidden by active tuberculosis lesions or might be incorrectly interpreted as an increase in severity of tuberculosis.
Differentiation according to the radiological findings can not be provided.
Tb specifically refers only to disease caused by m. A simpler test to do is to repeat the cxr after 6 months or so and observe for changes. The untreated disease affects lungs as well as other parts of the body. Therefore it's often difficult to know when it's cancer, and some doctors are too quick to diagnose it out of fear. Differentiation according to the radiological findings can not be provided. Pulmonary tb may exhibit a variety of radiological features and may imitate other lung diseases, including cancer. Because the initial symptoms of lc can be mistaken for the symptoms of pulmonary tuberculosis, that analysis was restricted. Tuberculosis lung cancer is a cancerous growth of the lung tissue that can metastasize to other organs of the body. Tuberculosis is a chronic infective disease mainly caused by mycobacterium tuberculosis. Lung cancer results in more fatalities in the united states than any other kind of cancer. Tuberculosis if left untreated can be fatal. Tuberculosis and lung cancer rarely coincide together but have been proven to have a definitive link. The delay in the diagnosis of lung cancer is substantial, because new malignant lesions can be obscured by coexisting tuberculosis lesions, or new nodules could be hidden by active tuberculosis lesions or might be incorrectly interpreted as an increase in severity of tuberculosis.
Tuberculosis is a chronic infective disease mainly caused by mycobacterium tuberculosis. We describe a fatal case of a patient with spinal tb, who was mistakenly irradiated for suspected metastatic lung cancer of the spine in the presence of a solitary pulmonary nodule of. Smokers have the greatest risk of developing lung cancer, and quitting smoking greatly. Now uncommon, lung abscesses usually result from a severe infection such as pneumonia or tuberculosis or from the aspiration of infectious material into the lungs from the mouth. However, prospective data on tuberculosis and lung cancer risk are limited.
A fatal case of spinal tuberculosis mistaken for ... from media.springernature.com Both conditions affect the lungs, but they have different pathology. Tuberculosis is a chronic infective disease mainly caused by mycobacterium tuberculosis. Still, the results are definitely telling us something unique about the immune response, jacobs jr. Differentiation according to the radiological findings can not be provided. We reviewed research databases in search of publications that included keywords lc and tb. Lung cancer results in more fatalities in the united states than any other kind of cancer. Secondly, can a lung abscess be mistaken for cancer? Tuberculosis may increase lung cancer risk through substantial and prolonged pulmonary inflammation.
Tuberculosis can be diagnosed by injecting mantoux tuberculin skin test (tst) or the tuberculosis body fluid test can be used to test for tuberculosis contamination.
Tuberculous spondylitis (pott's disease) is an ancient human disease. For this reason, lung cancer may be misdiagnosed as conditions such as pneumonia, asthma, tuberculosis, or bronchitis. Because the initial symptoms of lc can be mistaken for the symptoms of pulmonary tuberculosis, that analysis was restricted. In the past, it was well known that lung cancer is a. Time is of the essence when it comes to starting treatment for lung cancer. The patient was found to have an epidermal growth factor receptor exon 19 deletion, which has been shown to have an association. About 230,000 new cases of lung cancer are diagnosed annually, and about 160,000 lung cancer patients do not survive for more than five years. Endobroncheal tuberculosis is defined as tuberculous infection of the tracheobronchial tree with microbial and histopathological evidence. Tuberculosis may increase lung cancer risk through substantial and prolonged pulmonary inflammation. Find out if this is available in your part of the world. Tuberculosis was diagnosed before lc in most of the patients, and in none of the cases was lc diagnosed before tuberculosis. Lung abscesses are typically round, 0.5 to 3 cm in diameter Secondly, can a lung abscess be mistaken for cancer?
When the fungus is just a nodule, you likely will not have symptoms. However, over time, the fungus may develop into pulmonary nodules, a fungus ball, or pneumonia. Both conditions affect the lungs, but they have different pathology. Because the initial symptoms of lc can be mistaken for the symptoms of pulmonary tuberculosis, that analysis was restricted. Lung cancer is a common cause of finger clubbing;
Miliary Nodularity in a Patient Receiving TNF Inhibitors ... from www.jrheum.org Find out if this is available in your part of the world. However, it can occur in other heart and lung diseases. Indeed, a differential diagnosis during this time may include malignancy, tuberculosis, sarcoidosis, and other pulmonary infections or fungal diseases such as histoplasmosis. The delay in the diagnosis of lung cancer is substantial, because new malignant lesions can be obscured by coexisting tuberculosis lesions, or new nodules could be hidden by active tuberculosis lesions or might be incorrectly interpreted as an increase in severity of tuberculosis. Endobroncheal tuberculosis is defined as tuberculous infection of the tracheobronchial tree with microbial and histopathological evidence. Differentiation according to the radiological findings can not be provided. Both conditions affect the lungs, but they have different pathology. Tuberculosis may increase lung cancer risk through substantial and prolonged pulmonary inflammation.
Cancer was not cure able if we look back.
These symptoms may also be present in patients who experience several types of respiratory infections and other conditions. Therefore it's often difficult to know when it's cancer, and some doctors are too quick to diagnose it out of fear. Still, the results are definitely telling us something unique about the immune response, jacobs jr. Tuberculosis and lung cancer rarely coincide together but have been proven to have a definitive link. At moffitt cancer center, the multispecialty team in our thoracic oncology program ensures a high level of accuracy by offering a full range. Abstract the occurrence of pulmonary tuberculosis (ptb) and lung cancer as comorbidities has been. Time is of the essence when it comes to starting treatment for lung cancer. Tuberculosis, but other mycobacteria occasionally infect humans, like m. But now it is cure able but still it cannot be cured if it exceeds stage 3. Furthermore, lung cancer symptoms, such as a persistent cough, back pain or weight loss, can resemble a cold or bronchitis and may not raise suspicions of lung cancer. Aspergillosis generally starts out as a spot in your lung called a lung nodule. Intracellulare causing the mycobacterium avium complex (mac) disease. The untreated disease affects lungs as well as other parts of the body.
How To Make Index Cards : Amazon Com Oxford Ruled Index Cards 4 X 6 Green 100 Pack Office Products / Log into canva or sign up using your facebook or google account. . Tape together any plot and subplot points that will be used in the same scene. Printing single index cards select the page layout tab from the ribbon. The second cut will leave you with a stack of 2″ x 5″ leftover strips. Select the labels option in the top left of the mailings tab. Select your printer by clicking the printer icon. By carefully cutting the index card in the pattern above, you are redistributing the entire surface area across the length of the ring, all while keeping the surface area connected. Enter the front and back text for each card. Index cards (flash cards, notes, projects, flashcards) the highest rated index/flash card and note taking app in the store with over 500 five star reviews. Identify the need for using an index card and the nature of purpose it needs to serve. When you ...
At devcon 2019 in osaka, ethereum. One thing to take note of, however, is the volatile nature of the cryptocurrency … Please follow the sub rules, remember to upvote and downvote, and have a good time! A meme cryptocurrency inspired by a meme dog complete with its own meme language, dogecoin was one of the cryptosphere's earliest memetic successes. 08.05.2021 · meme cryptocurrencies are on the rise. Most Relatable Crypto Memes Of All Time Techstory from techstory.in Cryptocurrencies, coins, and tokens that are based off popular memes or people. Please follow the sub rules, remember to upvote and downvote, and have a good time! In simple words, meme coins are cryptocurrencies that are inspired by jokes on social media or the internet. 26.01.2021 · to cheer you up and just provide several minutes of joy, changelly has gathered the funnie...
Baptism Cards To Make / 22 080 Christening Invitation Card Template Customizable Design Templates Postermywall - Baptism is an outward expression of an inward faith. watchman nee. . To make the card fold a thick paper and cut it to the size you want your card to be. Start by changing the text with our intuitive text editor. May this day bring everlasting happiness to your family! Make sure you include important details such as your child's name, the location of the religious ceremony, the date, and the time and location of your celebration. As blessings have their own way, yet now cards become the best way to shower the blessings. Check out our baptism card making selection for the very best in unique or custom, handmade pieces from our shops. Make sure to send your congratulations by writing a celebratory note in their baptism card. With the smilebox free baptism invitation maker, you'll get a final copy that is a high resolution after making sure that you ...
Komentar
Posting Komentar